Call me back

We’re Accepting New Patients!

Read More Next

Looking for a caring and professional dental practice? We’re excited to welcome new patients to our clinic! Whether you’re due for a check-up, need treatment, or are looking to enhance your smile, our friendly team is here to help.
Contact us today to book your first appointment—we look forward to meeting you!

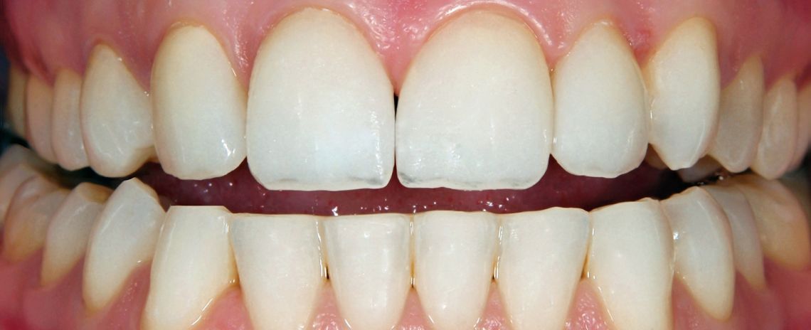
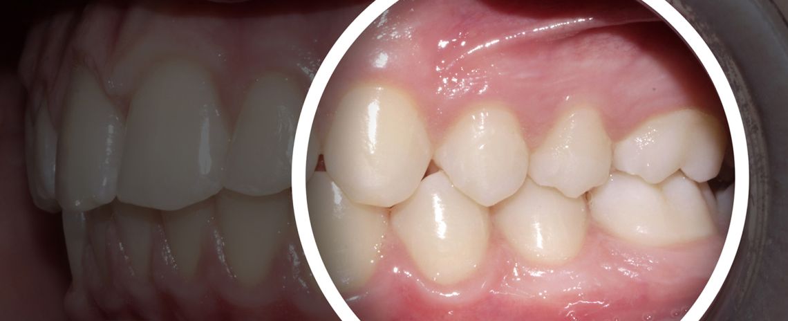
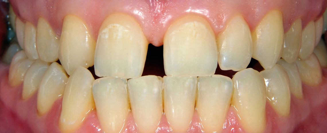
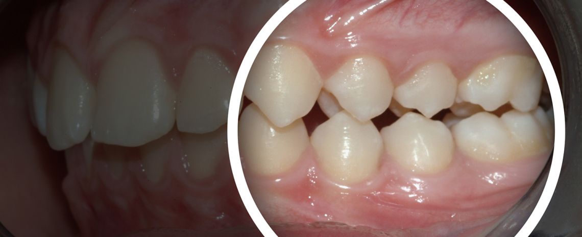
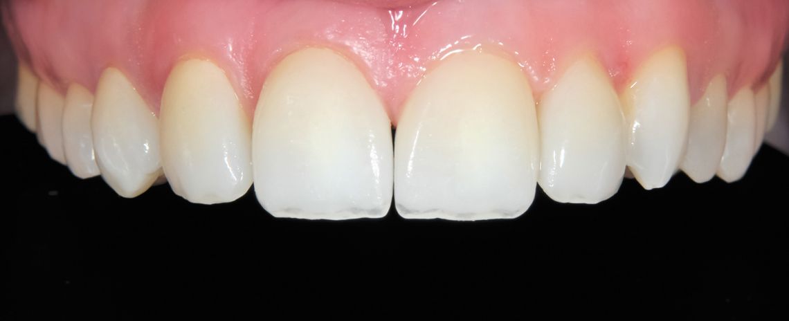
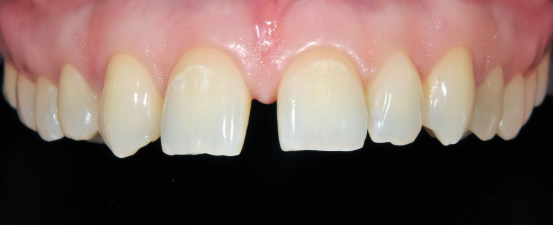
Invisalign clear aligners

Serving patients throughout Alton, Chawton, Farnham, Bordon, Petersfield, Liss and Liphook

Invisalign is the revolutionary clear aligner which straightens with discretion, comfort and ease.

With results at in as little as 3 - 6 months (depending on the complexity of movement required), this trusted system has successfully transformed over 10 million smiles so far... and counting!

Invisalign Video
Play

Benefits of Invisalign clear aligners from Kingsclere Dental Practice in Alton:

Removable
Life can continue as normal, as the Invisalign System discreetly does its work. As Invisalign aligners are removable, it’s easy to maintain your regular oral hygiene and enjoy your usual diet. You should simply wear your aligners for the recommended 22 hours a day to see the best results.

Comfortable
Only Invisalign clear aligners use SmartTrack material to shape your smile with such precision, comfort and predictability. SmartTrack material is highly elastic for an improved aligner fit and greater comfort.

Near invisible
Invisalign clear aligners are so discreet, it will be difficult to notice you are undergoing teeth straightening treatment.

The Invisalign treatment process is straightforward and technically advanced:

  1. Consultation and planning
    After an initial consultation, our Invisalign dentist, Mohammed Riaz will take photos, X-rays and digital scans, or a dental impression, of your teeth. These records will be used to create a ClinCheck 3D treatment plan, just for you. ClinCheck technology digitally maps your entire Invisalign journey, so you can see what your new smile is predicted to look like before treatment even begins.
  2. Transformation
    We’ll then custom make your aligners using state of the art 3D printing technology, before Mohammed provides you with your initial sets of aligners, to start your treatment. You’ll need to wear each aligner for 1-2 weeks before changing to the next, to slowly and efficiently move the teeth inline. Mohammed will see you every 4–6 weeks to check your progress and provide you with your next sequence of aligners.
  3. Retaining your new smile
    Once your new smile is achieved, you’ll need to wear a retainer to ensure your teeth remain beautifully aligned. Retainers can either be removable clear trays, similar to a mouth guard, or a fixed retainer which are discreetly attached to the back of the teeth for continual support.

If you are looking for Invisalign clear aligners in Alton, Chawton, Farnham, Bordon, Petersfield, Liss and Liphook and want to know more about your options, get in touch to arrange a consultation at Kingsclere Dental Practice.

0% finance

We offer finance to you to help spread the cost of your dental investment. Credit is subject to status.

Meet the team

Vladimir Fazekas

Dentist

GDC NO. 100899

Mohammed Riaz

Dentist

GDC NO. 230632

Previous
Next
Patient Reviews

People are talking about us

The biggest complement we receive is when our patients refer their friends and family to Kingsclere Dental Practice. In fact, we have built much of our practice on these valued, trusted recommendations over the years. Read our reviews to hear why our patients are recommending us…

Patient reviews

1089 Reviews

5.0

11th February 2026

The hygienist and the Dentist were very polite asking how I was and asking if Ali had any problems. They explained exactly what they were going to do before they started and kept me informed what was happening at each stage. Also asked if I was okay during the treatment.

KF

Keith Fielder

Great appointment today, I had the new Guided Biofilm Therapy (GBT) with Sam and it was really good and pain free. I also had a check up with Jay which was fine

7th February 2026

The dentist was patient, attentive and approachable

7th February 2026

I feel that Jaymal listens to my needs like Cliff the original dentist I had used to do. The reception team are always helpful, arranging appointments that fit with my schedule and car parking charges.

5th February 2026

Sam and Jay are always friendly and professional as are your receptionists

3rd February 2026

From the receptionist to the clinicians, everyone is warm and friendly, they are very helpful, they always listen to what I have to say, and making you feel relaxed.

3rd February 2026

Excellent service from Jay as always

3rd February 2026

Friendly staff and great service. Big thank you to Jaymal and the reception team!

2nd February 2026

I was very impressed with the new Hygienist equipment water and powder no longer uncomfortable which the ultrasonic was.

JB

Jennifer Bloch

I was a bit shocked that a hygienist visit had gone from £81 to £99 without any prior notice and the fact the appointment had been booked 6 months ago the old price was not honoured, or a gradual increase was offered! But the experience was very good, well explained about the new technology on the cleaning and my teeth feel exceptionally clean but definitely feel it’s at a high end price experience. It’s Alton not Chelsea! The new dentist I saw was very knowledgeable and helpful with the Denplan that the surgery offers. And appeared to do his job well with a pleasant manner, was on time, looked presentable and was very professional The front of house staff are always exceptional very welcoming and accommodating. Shame they get the brunt of the “disgruntled” customer but can’t fault them at all on how they deal with it. Overall it was a good experience but £170 for a hygienist and check up really is not cheap! And very little incentive to stay at the practice if prices go up much more!

PT

Patricia Tutt

Staff are always polite and helpful never had any problems alway explains things

30th January 2026

I have been using Preet for many years now. His work is excellent.

JC

Jenny Clarke

Friendly, welcoming and informative, thank you

24th January 2026

Everyone looked after me well and appropriately.

HJ

H JH

Great practice!

23rd January 2026

It was all very satisfactory even if I couldn’t speak to say so after the treatment due to anaesthetic/nerve blocks.

AD

Alison Dixon

Have been using this surgery since it incorporated Appollonia House. Not so keen on it at first because it was so much bigger, but actually it's just down to the individuals and everyone I've encountered has been lovely, especially my dentist Vlad and hygienist Sam!

AB

Andrew Best

I have truly bad anxiety and rarely leave the house but coming to the dentist is one of my favourite days out ! Mr P puts me at ease straight away and we have a good chat he is amazing! I must’ve been coming here for nearly 50 years and wouldn’t change a thing

18th January 2026

The whole appointment was delightful. All staff were pleasant and cheerful to talk to and I didn't feel rushed by anyone. Clear and helpful explanations were given and the dentist and I were able to discuss several possibilities for treatment. The dentist listened to my suggestions for a best way forward and together we decided on the best plan - this made me feel valued and positive about the outcomes.

15th January 2026

We saw Preetpal Marjara - his manner is incredibly kind, caring and approachable - suiting the young patient in the chair. He delivered advice with confidence and kindness, making it all the easier for the patient to take on board.

Prev Previous
Next Next