Call me back
Smile gallery




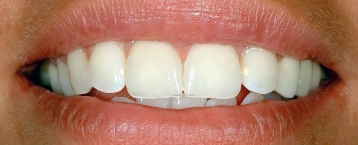
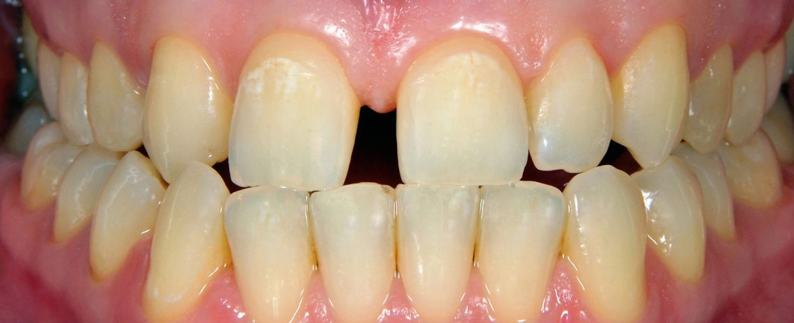
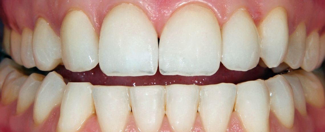
Composite Bonding and Whitening


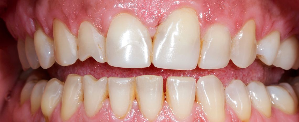
Crown


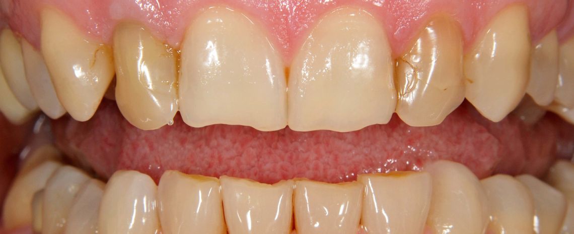
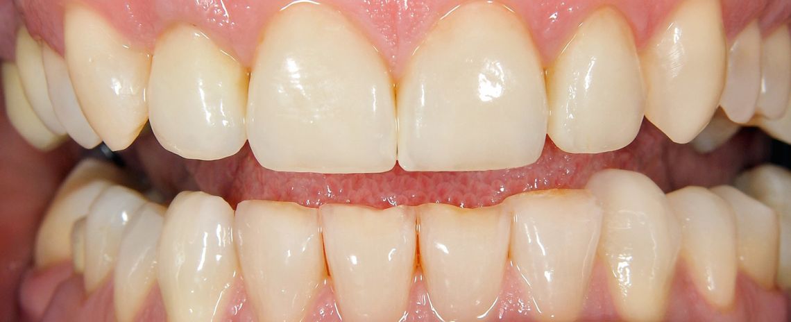
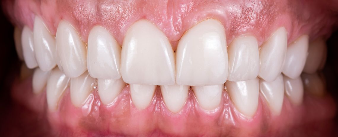
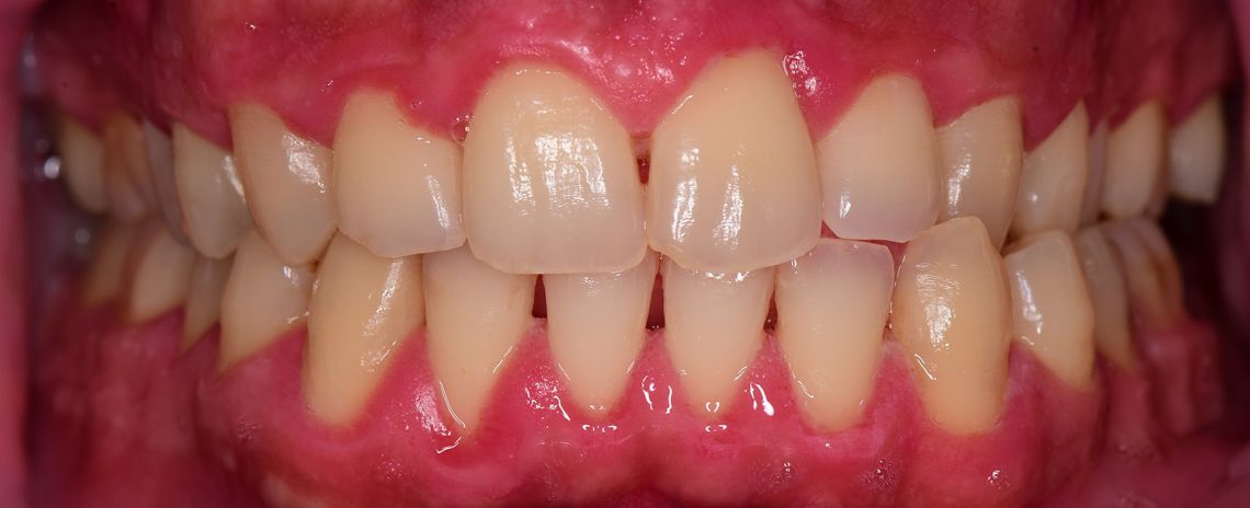
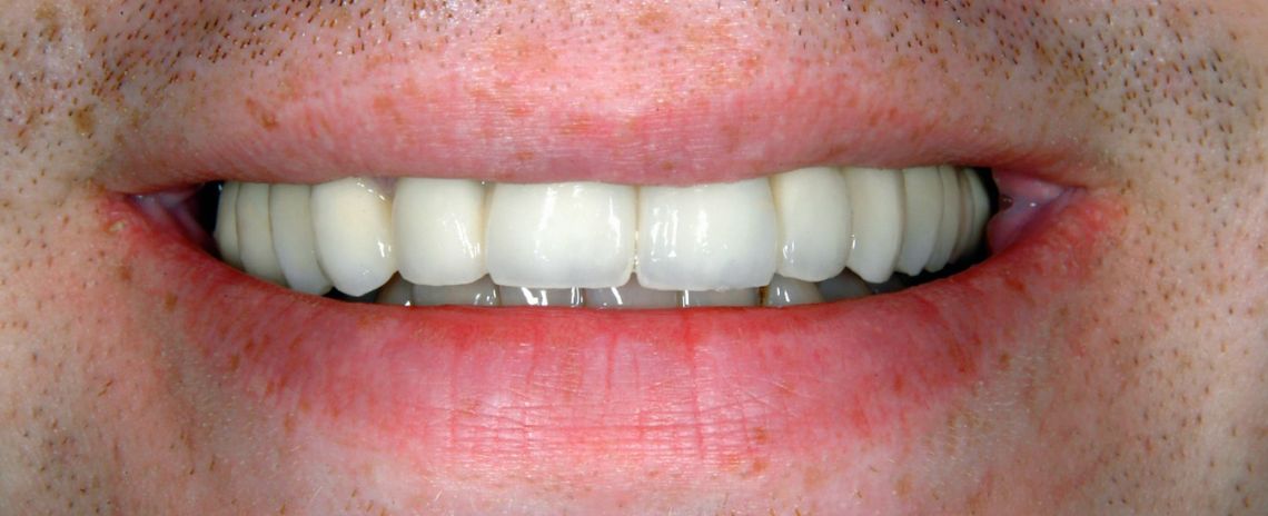
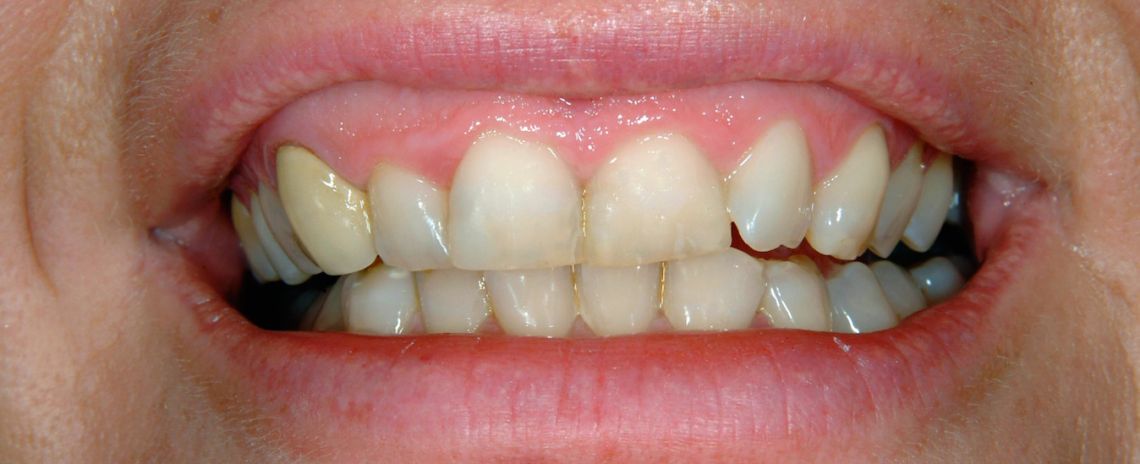
Crowns and Veneers


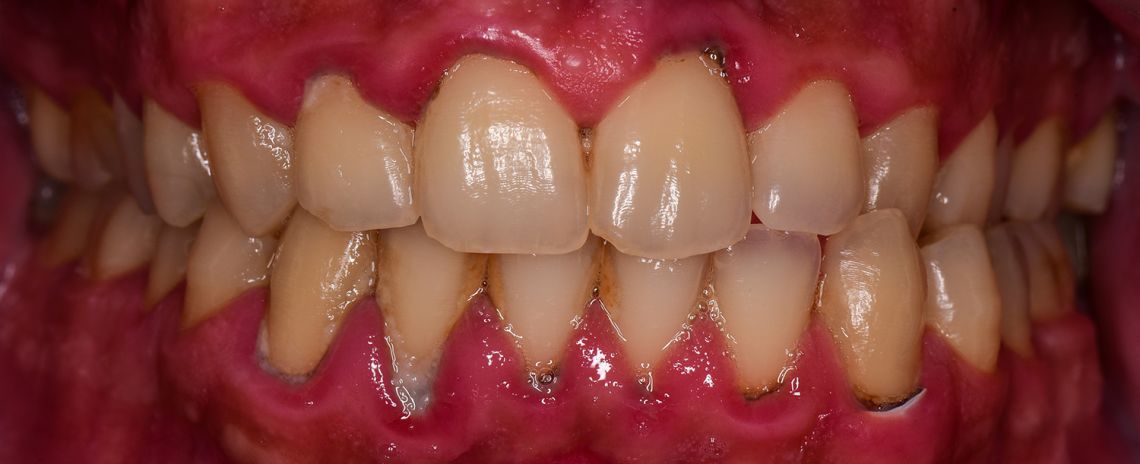
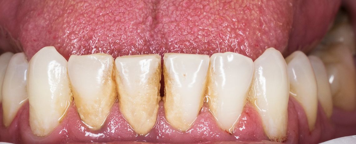
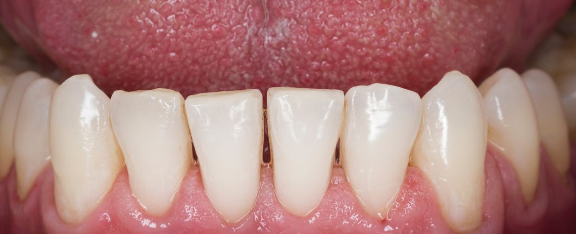
Gum Disease Clean


Hygiene Clean


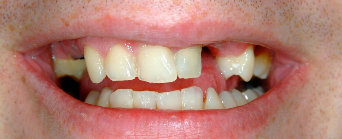
Implant Denture


Teeth Straightening, Sculpting and Composite Bonding


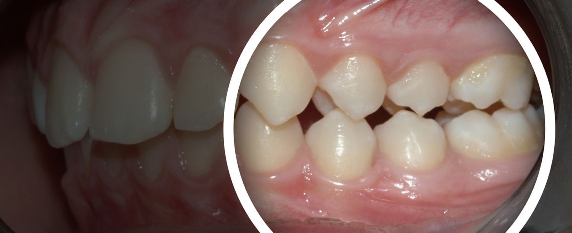
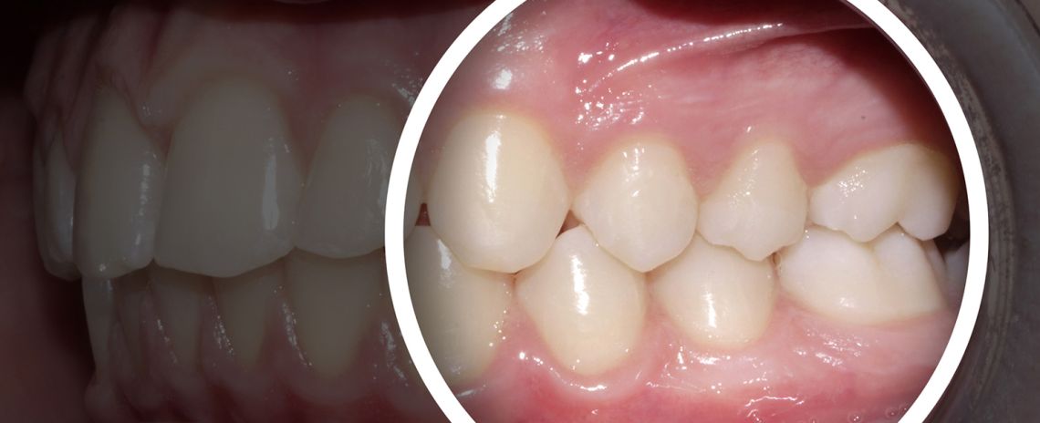
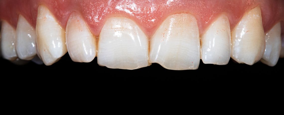
Teeth Straightening and Whitening


Teeth Whitening


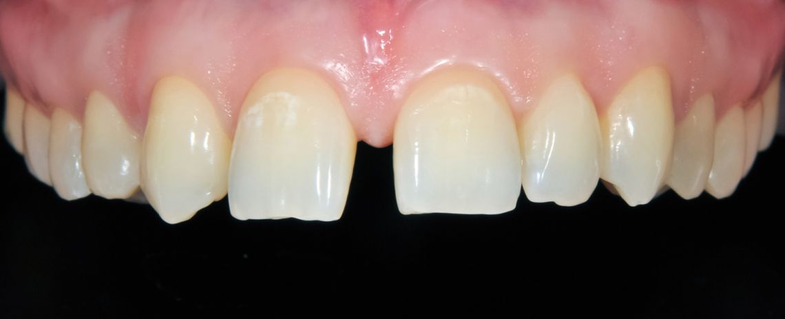
Veneers


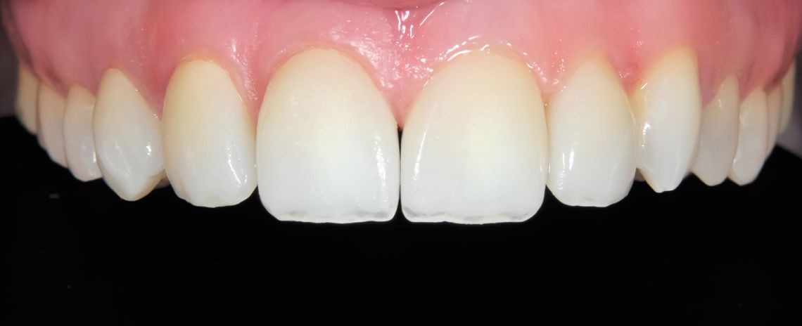
Veneers

